US
4 MIN READ TIME

ANALYSIS

MONKEYPOX OUTBREAK: HOW WORRYING IS IT?

This rare disease, mainly found in Africa, is unlikely to become a new pandemic in UK, but cases are going to rise over the coming weeks

ALAMY, CDC/PHIL.GOV

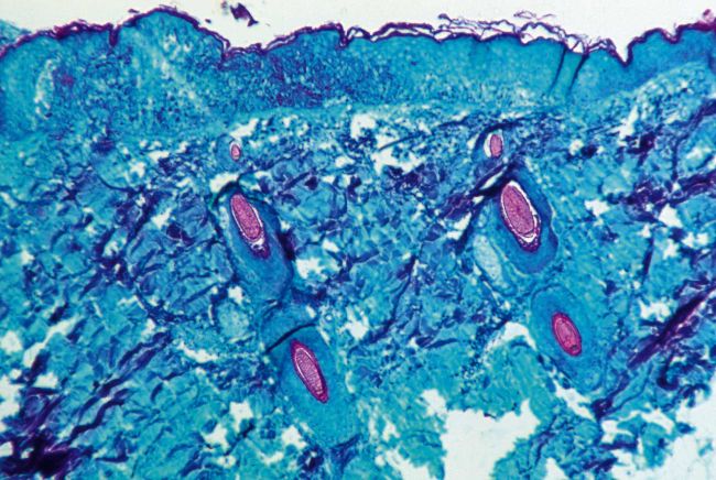
Though still in the midst of the current COVID-19 pandemic, we are now seeing warning signs of another disease popping up in countries around the world – monkeypox. This is not a new virus (it was first discovered in 1958), nor is it new to the UK (there have been regular small outbreaks over the years). However, we are now seeing a wider spread of the virus, with 100 cases and nearly 300 suspected cases reported in more than 16 countries, including 57 cases in the UK, as of 24 May. Are we staring down the barrel of another pandemic?

Recent years have seen 13 isolated outbreaks of monkeypox that have been mostly contained to a single country and can be traced back to travel from Central and West Africa, where the virus is thought to reside. In May and June 2021, there were three cases of monkeypox in the UK that were linked to recent travel to West Africa. However, according to the World Health Organization, the current outbreak is proceeding differently, with many more cases, more human-to-human transmission and more people that became infected outside of Africa.

Unlock this article and much more with
You can enjoy:
Enjoy this edition in full
Instant access to 600+ titles
Thousands of back issues
No contract or commitment
Try for 99c
SUBSCRIBE NOW
30 day trial, then just $9.99 / month. Cancel anytime. New subscribers only.


Learn more
Pocketmags Plus
Pocketmags Plus

This article is from...


View Issues
BBC Science Focus Magazine
Jul-22
VIEW IN STORE

Other Articles in this Issue


Editorial
FROM THE EDITOR
COVER: MAGIC TORCH THIS PAGE: GETTY IMAGES X2,
REGULARS
Cold call
LONGYEARBYEN, SVALBARD On the Norwegian archipelago of Svalbard
Hightech hive
BEIT HAEMEK, ISRAEL GETTY IMAGES Pollinators keep planet
Lost cities
LLANOS DE MOJOS, BOLIVIA For centuries, legends have
CONVERSATION
LETTERS MAY BE EDITED FOR PUBLICATION YOUR OPINIONS
’TSUNAMI-LIKE’ STARQUAKES AMONG THE DISCOVERIES IN THE MOST DETAILED SURVEY OF THE MILKY WAY EVER
The European Space Agency’s Gaia spacecraft’s latest data release has revealed a treasure trove of insights about our home galaxy
4,500-YEAR-OLD POO FOUND NEAR STONEHENGE SHOWS NEOLITHIC BRITONS WERE RIDDLED WITH PARASITES
The bugs were also present in dog poo found at the site, suggesting that prehistoric humans fed leftovers to their pet pups
WARMER WEATHER DUE TO CLIMATE CHANGE IS EATING AWAY AT OUR SLEEP
If current trends continue, we could be missing out on an hour of sleep a week by the end of the century
GLIDING SALAMANDERS MOVE LIKE SKYDIVERS
The amphibians live high in the canopies of giant redwood trees in California
SIMPLY ENCOUNTERING NEW OBJECTS CAN PRIME THE MIND FOR LEARNING
New research is one of the first to provide evidence for a phenomenon known as ‘latent learning’
DID GIRAFFES EVOLVE THEIR LONG NECKS FOR COMBAT?
Fossil of ancient giraffe relative reveals skull and neck bones that are highly adapted for throwing brutal headbutts
DRUG CURES 100 PER CENT OF COLORECTAL CANCER PATIENTS IN SMALL INITIAL TRIAL
Everyone treated remained cancer-free for up to two years, without the need for surgery or chemotherapy
NASA RESEARCHERS GROW PLANTS IN LUNAR SOIL COLLECTED DURING THE APOLLO MISSIONS
FLORIDA, USA If humans want to spend extended
SEARCH AND RESCUE RATS ARE BEING TRAINED TO FIND EARTHQUAKE SURVIVORS AMONG THE RUBBLE
Researchers have successfully trained rats to detect landmines, sniff out tuberculosis and even drive cars, but their next challenge – to find survivors in collapsed buildings – could be their bravest yet
THE FUTURE’S BRIGHT...
As a remedy for all the bad news out there, let us prescribe you a small dose of feel-good science. Each issue, we’ll give you a rundown of the latest breakthroughs that aim to solve humanity’s biggest problems. From resilient corals to lab-grown meat, here you’ll find many reasons to feel hopeful for our future…
AT THE EDGE OF EVERYTHING
Puzzling over the answers to a centuriesold cosmic paradox can teach us profound things about the Universe
MEMORIES ARE OUR OWN TRUTHS… TRUTHS THAT CAN LIE
False memories make for thorny debates in research and the courtroom alike
THE ROBOTS ARE COMING FOR YOUR JOB… IF YOU’RE A DOLPHIN
The use of performing animals in circuses and aquariums is controversial. Could realistic, animatronic creatures offer a way to ignite people’s interest in the natural world instead?
PCSPECIALIST
WWW.PCSPECIALIST.CO.UK
PATHOLOGICAL LIARS: WHAT DRIVES THEM TO LIE AND WHAT CAN YOU DO ABOUT IT?
From high-profile court cases to recent political scandals, lying is all over the news. A psychologist explains how to spot and deal with a habitual liar
CLIMATE: COULD 50°C BECOME THE NEW NORMAL?
A recent heatwave in Jacobabad, Pakistan saw temperatures hit a record 51˚C – dangerously close to the limit of human survivability
This electric-hybrid boat changes marine tourism as we know it
Daniel Bennett hops aboard the maiden voyage of a first-of-its-kind ship that’s hoping to lead the conversation on sustainable tourism
The essentials... for retro gaming
Relive your misspent youth with this cutesified gaming equipment that actually is smaller than you remember
Ideas we like…
Our pick of the month’s smartest tech
Q & A
YOUR QUESTIONS ANSWERED ... DOES MY DOG ACTUALLY
WHY ARE PEOPLE WHO HUMBLEBRAG SO ANNOYING?
ILLUSTRATION: DANIEL BRIGHT The definitive research on the
THE TEAPOT AND TEASPOON
WHEN: JULY AND AUGUST At this time of
DO DOGS ACTUALLY ENJOY THEIR FOOD WHEN THEY EAT SO FAST?
GETTY IMAGES X2 ILLUSTRATIONS: PETE LAWRENCE, DANIEL BRIGHT
HOW FAR DOES MY COMPUTER MOUSE MOVE?
I can’t tell you how far your mouse
IS THERE SUCH A THING AS LEFT BRAIN VS RIGHT BRAIN?
You may have heard the saying that people
NATURE’S WEIRDEST ANIMALS…
SHOEBILL STORK At times vilified for its supposedly
HOW DO YOU THICKEN A SAUCE?
There are a few ways to thicken a
WHY DO ANIMALS MIGRATE?
Every week on BBC World Service, CrowdScience answers
WHAT’S THE DIFFERENCE BETWEEN AN OCTOPUS AND A SQUID?
Octopuses and squid are close cousins with much
WHAT IS THE LIFE CYCLE OF OUR SUN?
1. Hydrogen-burning phase Nuclear fusion is converting hydrogen
DO WE GET MORE BITTER AND CYNICAL AS WE GET OLDER?
DEAR DOCTOR... HEALTH QUESTIONS DEALT WITH BY SCIENCE
IS IT TRUE THAT YOU CAN BITE THROUGH A HUMAN FINGER AS EASILY AS A CARROT?
Definitely not. Go and get a carrot from
SHOULD I TAKE MY SHOES OFF INSIDE THE HOUSE?
Keep them on, if you can stomach knowing
WHAT’S ON THE OTHER SIDE OF A BLACK HOLE?
A black hole is defined by its ‘event
GIVEN THE IMMENSE TIME PERIOD THAT DINOSAURS EXISTED FOR, WHY DID NONE OF THEM DEVELOP SENTIENCE?
QUESTION OF THE MONTH One thing that sets
THE EXPLAINER
TINNITUS WHAT IS TINNITUS? Tinnitus is often thought
CROSSWORD
PENCILS AT THE READY! ANSWERS For the answers,
HOW TO NAP LIKE A GENIUS
GETTY IMAGES PLUS ECHOLOCATION It’s how bats and
Subscriptions
buysubscriptions.com/SS22SP
How does Thor’s hammer work?
Is it security coded, or is it simply tampering with physics?
FEATURES
THE EYES HAVE IT
TWO FRONT-FACING EYES WORKS WELL FOR US BUT NOT FOR EVERYTHING ELSE. THESE ANIMALS HAVE SOME BIZARRE AND BEAUTIFUL EYES THAT LET THEM SEE THE WORLD IN VERY DIFFERENT WAYS
FUTURE CITIES
ILLUSTRATION: MAGIC TORCH T he world’s cities are
THE NEW AGE OF FUSION
FOR DECADES, THE TECHNOLOGY TO DEVELOP CLEAN, SAFE FUSION POWER HAS REMAINED TANTALISINGLY OUT OF REACH. NOW, THOUGH, A NEW BREED OF START-UPS COULD HAVE CRACKED IT AT LAST. WILL WE FINALLY BE ABLE TO WAVE GOODBYE TO FOSSIL FUELS?
Subscribe
buysubscriptions.com/SW22HAD
Chat
X
Pocketmags Support